Breaking Free: Understanding Your Path Forward from Meth Addiction
Meth addiction recovery is challenging but achievable with the right support. Most people do best with a comprehensive approach that includes medical detox, behavioral therapy, and long-term aftercare. Trying to quit alone often leads to relapse, while professional rehabilitation programs significantly improve the chances of lasting success.
Key Components of Successful Meth Addiction Recovery:
- Medical Detox: Safely managing withdrawal under professional supervision.
- Behavioral Therapy: Using methods like CBT and Contingency Management to address the psychological aspects of addiction.
- Treatment Settings: Choosing between inpatient (24/7 support) or outpatient (flexible) care.
- Dual Diagnosis Treatment: Addressing co-occurring mental health disorders like depression or anxiety.
- Aftercare Support: Utilizing ongoing counseling, sober living, and peer support groups.
Methamphetamine is a powerful stimulant that produces an intense high followed by a crash, driving compulsive use. The 2022 National Survey on Drug Use and Health estimates approximately 1.8 million Americans meet criteria for methamphetamine use disorder. Consequences can include tooth decay, cardiovascular damage, and psychological dependence. Without formal treatment, only 5% of users maintain sobriety after three years—professional help dramatically improves those odds.
The good news? Recovery is possible. At Addiction Helpline America, we connect individuals and families to evidence-based care and compassionate support 24/7.

Meth addiction recovery helpful reading:
Understanding Methamphetamine and Its Grip
Methamphetamine, or meth, is a powerful synthetic stimulant and a Schedule II drug with a high potential for abuse and dependence. Smoked, injected, snorted, or swallowed, it powerfully stimulates the central nervous system and floods the brain with dopamine. As the National Institute on Drug Abuse (NIDA) notes, this dopamine surge far exceeds natural rewards, making the drug highly reinforcing.
Addiction progresses through a “binge-and-crash” cycle. After the high fades, exhaustion and anxiety push users to take more. Over time, the brain develops tolerance and dependence, and normal pleasures fade. Learn more at Methamphetamine Addiction.

Common Signs and Symptoms of Meth Use
- “Meth mouth”: Severe tooth decay and gum disease.
- Skin sores: From obsessive scratching (formication).
- Dramatic weight loss: Due to appetite suppression.
- Other signs: Dilated pupils, rapid eye movements, and excessive sweating.
Behavioral and psychological signs include euphoria and energy alongside agitation, paranoia, mood swings, hallucinations, and social withdrawal. See more at Meth Addiction Signs and Symptoms.
Call Now – Your Journey to Recovery Begins Today!
Take the first step towards a healthier life! Call now to connect with our compassionate team and start your recovery journey today. Your path to healing awaits!
Our recovery specialists are available 24/7 to provide support, and all calls are confidential and free. Reach out anytime – we’re here to help!
Why Is Meth Addiction So Difficult to Overcome?
Meth damages dopamine and serotonin systems, leading to intense cravings and impaired decision-making. Research published in PubMed shows deficits in attention, impulse control, and memory, making change harder. Relapse is common, which underscores the need for professional treatment—not that recovery is impossible. Learn more in What is the Most Addictive Drug?
The Toll of Meth Use: Withdrawal and Long-Term Consequences
Stopping meth often triggers a difficult withdrawal. While usually not life-threatening, symptoms can be intense and make meth addiction recovery challenging without support.
Common symptoms include:
- Intense cravings for meth.
- Severe depression, sometimes with suicidal thoughts.
- Anhedonia (inability to feel pleasure).
- Anxiety, agitation, and paranoia.
Acute withdrawal typically begins within 24 hours and can last a week; depression and cravings can persist for a month or more. Medically supervised detox helps manage these symptoms. Learn more about Meth Withdrawal Symptoms.
Long-term use carries serious risks, per the NIDA report on long-term effects:
- Cardiovascular damage: Arrhythmias, hypertension, heart attack, stroke.
- Neurological damage: Confusion, memory loss, impaired coordination.
- Visible signs: “Meth mouth,” skin sores, extreme weight loss.
- Infectious diseases: Increased risk of HIV and hepatitis B/C, especially with injection.

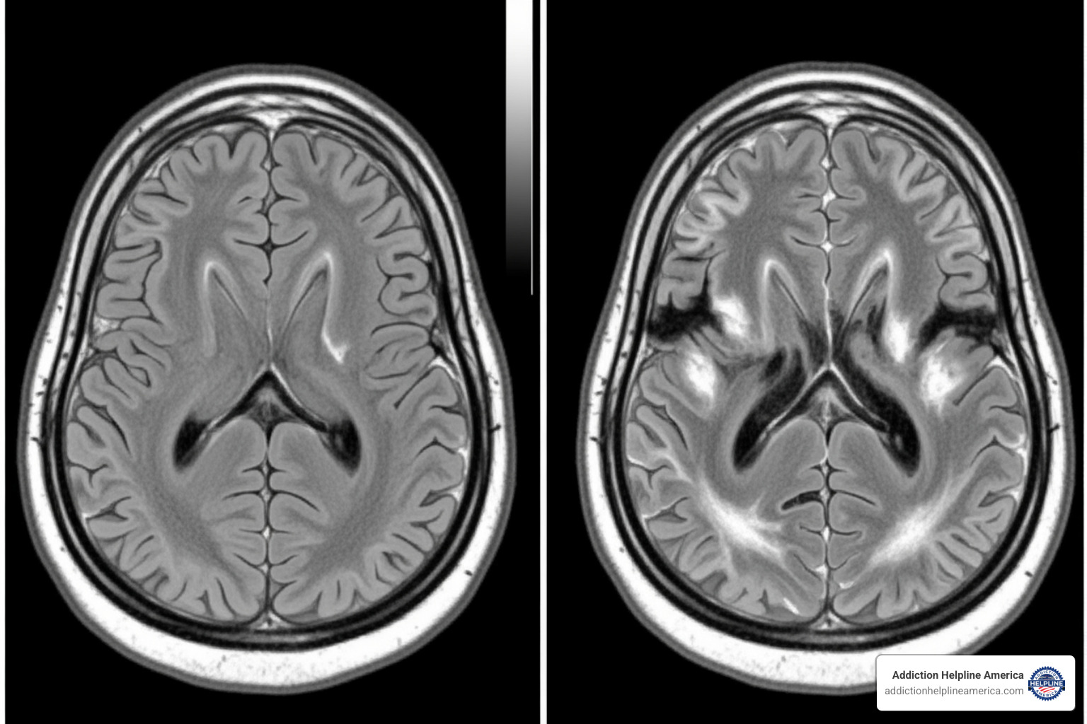
Can Meth Cause Permanent Brain Damage?
Chronic meth use can damage dopamine and serotonin systems, affecting mood, motivation, memory, attention, and decision-making. While some changes may persist, many people improve with sustained abstinence and treatment. The brain can heal over time—another reason to start early. See Meth Addiction Effects.
The Comprehensive Path to Meth Addiction Recovery
Recovery works best as a personalized “continuum of care”—from detox to therapy to aftercare. SAMHSA supports this multi-faceted approach. We can help you steer options on our First Steps to Recovery page.
Starting with Medically Supervised Detox
Detox clears meth from the body while professionals manage withdrawal and monitor safety. Although meth withdrawal is usually not life-threatening, its psychological intensity makes medical support valuable. Symptom-targeted medications may be used to ease agitation, anxiety, or insomnia. For context, see Addiction Treatment: Benzo Withdrawal Treatment.
Choosing the Right Treatment Setting
- Inpatient/Residential Rehab: 24/7 support in a structured environment; ideal for severe addiction or unstable home settings.
- Outpatient Programs (PHP/IOP): Flexible care while living at home; works best with strong support systems.
Explore programs at Meth Addiction Treatment Centers.
The Role of Behavioral Therapies in Meth Addiction Recovery
With no FDA-approved medications for meth use disorder, behavioral therapies are essential:
- CBT to change thoughts/behaviors that lead to use.
- Contingency Management to reinforce sobriety with rewards.
- Matrix Model for structured stimulant treatment.
- Motivational Interviewing to build internal motivation.
Learn more on our Drug Addiction Program.
Introduction
Breaking Free: Understanding Your Path Forward from Meth Addiction
Meth addiction recovery typically involves medically supervised detox, evidence-based behavioral therapies (like CBT, Contingency Management, and the Matrix Model), and consistent aftercare. While some studies show high relapse rates without formal care, comprehensive programs markedly improve long-term outcomes.
Key Components of Successful Meth Addiction Recovery:
- Medical Detox – Managing withdrawal symptoms under professional supervision
- Behavioral Therapy – CBT, Contingency Management, and the Matrix Model to address psychological dependence
- Treatment Settings – Inpatient (24/7 support) or Outpatient (flexible scheduling)
- Dual Diagnosis Treatment – Addressing co-occurring mental health disorders
- Aftercare Support – Ongoing counseling, sober living, and peer support groups like Crystal Meth Anonymous
Methamphetamine floods the brain with dopamine, creating a short-lived rush followed by a crash that fuels compulsive use. In 2022, over 2.7 million Americans reported using methamphetamine in the past year, with about 1.8 million meeting criteria for methamphetamine use disorder.
At Addiction Helpline America, we connect you and your family to compassionate, evidence-based care 24/7—and help you take the first step.
Meth addiction recovery helpful reading:
Understanding Methamphetamine and Its Grip
Methamphetamine—often called crystal meth—is a potent Schedule II stimulant. Whether smoked, injected, snorted, or swallowed, it rapidly lifts heart rate, blood pressure, and body temperature, while flooding the brain with dopamine. See NIDA on methamphetamine and our page on Methamphetamine Addiction.
The “binge-and-crash” cycle quickly leads to tolerance and dependence. Normal rewards lose appeal, and compulsive drug seeking takes over.
Common Signs and Symptoms of Meth Use
Physical: “Meth mouth”, skin sores from formication, extreme weight loss, dilated pupils, excessive sweating.
Behavioral/psychological: Euphoria, insomnia, agitation, paranoia, hallucinations, neglect of responsibilities, anhedonia, memory problems. More signs at Meth Addiction Signs and Symptoms.
Why Is Meth Addiction So Difficult to Overcome?
Meth impairs the brain systems for reward and self-control. Studies in PubMed show deficits in attention, executive function, and working memory. Combined with distressing withdrawal, relapse risk is high—another reason to seek professional help. See also What is the Most Addictive Drug?.
The Toll of Meth Use: Withdrawal and Long-Term Consequences
When regular use stops, withdrawal brings profound fatigue, appetite changes, and sleep disruption—along with difficult psychological symptoms. Common experiences include powerful cravings, severe depression (sometimes with self-harm thoughts), anhedonia, anxiety, irritability, paranoia, concentration problems, and, in some cases, psychosis. Symptoms usually begin within 24 hours, last several days to a week, and some (like depression and cravings) can linger for weeks. Supportive, medically supervised care helps. See Meth Withdrawal Symptoms.
Long-term risks documented by the NIDA report on long-term effects include cardiovascular strain (arrhythmias, hypertension, heart attack, stroke), neurological issues (memory loss, impaired learning, mood changes), visible damage (“meth mouth,” skin sores, weight loss), and liftd risk of infectious diseases such as HIV and hepatitis B/C.
Can Meth Cause Permanent Brain Damage?
Yes, chronic exposure can damage dopamine and serotonin systems, leading to lasting cognitive and emotional problems. Still, many people improve with sustained abstinence and treatment—the brain can heal over time. Learn more at Meth Addiction Effects.
Call Now – Your Journey to Recovery Begins Today!
Take the first step towards a healthier life! Call now to connect with our compassionate team and start your recovery journey today. Your path to healing awaits!
Our recovery specialists are available 24/7 to provide support, and all calls are confidential and free. Reach out anytime – we’re here to help!
The Comprehensive Path to Meth Addiction Recovery
Effective meth addiction recovery follows a custom continuum of care—from detox to therapy to aftercare. SAMHSA’s guidance (including TIP 33) emphasizes multi-layered, behavioral approaches. See our First Steps to Recovery.
Starting with Medically Supervised Detox
Detox addresses acute withdrawal and prepares you for therapy. Clinicians monitor safety and may use symptom-relief medications for agitation, anxiety, or insomnia. For related context, see Addiction Treatment: Benzo Withdrawal Treatment.
Choosing the Right Treatment Setting
Inpatient: 24/7 care and structure—best for severe cases or unstable home environments.
Outpatient (PHP/IOP): Flexible, structured therapy while living at home—ideal with strong supports or as step-down care.
Explore options at our Meth Addiction Treatment Centers.
The Role of Behavioral Therapies in Meth Addiction Recovery
- CBT: Identify/change thoughts and behaviors fueling use.
- Contingency Management: Rewards reinforce sobriety.
- Matrix Model: Structured, multi-component stimulant program.
- Motivational Interviewing: Builds readiness and commitment.
More on our Drug Addiction Program.
Navigating Challenges and Ensuring Lasting Sobriety
Meth addiction recovery is a long-term process. Relapse can happen, but professional care, a strong support system, and a clear aftercare plan dramatically improve outcomes. See Meth Addiction Relapse Prevention.
Addressing Co-Occurring Mental Health Disorders
Dual diagnosis (addiction plus a mental health disorder) is common. Integrated treatment that addresses both conditions at the same time is essential. Learn more at Co-occurring Disorders.
The Importance of Aftercare in Meth Addiction Recovery
Key aftercare supports:
- Sober Living Homes
- Ongoing Therapy (individual/group)
- Peer Support Groups:
- Crystal Meth Anonymous (CMA): Crystal Meth Anonymous
- Narcotics Anonymous (NA)
- SMART Recovery
More aftercare guidance: What is Rehab Aftercare?.
Practical Steps: Seeking Help and Understanding Logistics
Getting started can feel overwhelming, but help is available for both individuals and families. A professionally guided intervention and a confidential helpline can provide immediate support. Also note the dangers of illegal meth production (fires, explosions, toxic exposure). Learn more at Meth Addiction and the Law.
How to Find and Pay for Treatment
Using Our Helpline
Addiction Helpline America offers a free, confidential service connecting people nationwide to quality treatment centers.
Insurance and Other Payment Options
- Insurance Coverage: Most plans, under the ACA, cover substance use disorder services. We can help you verify benefits.
- If Uninsured: State-funded programs, Medicaid/Medicare, and employer EAPs may help.
- Financial Aid: Many centers offer sliding-scale fees or scholarships.
For more information, visit Free Rehabs.

Don’t let cost stop you from reaching out. Call us to explore your options.
Call Now – Your Journey to Recovery Begins Today!
Take the first step towards a healthier life! Call now to connect with our compassionate team and start your recovery journey today. Your path to healing awaits!
Our recovery specialists are available 24/7 to provide support, and all calls are confidential and free. Reach out anytime – we’re here to help!
Conclusion
Meth addiction recovery is possible. The first step—asking for help—can change everything.
At Addiction Helpline America, we provide free, confidential, personalized guidance 24/7, connecting people in all 50 states and D.C. to evidence-based treatment and aftercare resources that fit their needs.
You don’t have to do this alone.
Find confidential help today by calling our addiction and rehab hotlines
Our helpline is 100%
free & confidential
If you or someone you care about is struggling with drug or alcohol addiction, we can help you explore your recovery options. Don’t face this challenge alone—seek support from us.
Programs
Resources
Will my insurance
cover addiction
treatment?
We're ready to help
Find the best
drug or alcohol treatment
center
Are you or a loved one struggling with addiction? Call today to speak to a treatment expert.


